Артроз голеностопного сустава – хроническое заболевание, которое поражает хрящевую ткань и со временем охватывает капсулу, синовиальную оболочку, кости, связки и прилегающие мышцы. Патологические процессы приводят к деформации и нарушению суставных функций. Из-за этого возникает боль и скованность движений.
Механизм развития заболевания
Голеностопный сустав соединяет стопу и голень. Он обеспечивает сгибательные и разгибательные движения до 80 градусов. Неблагоприятные факторы нарушают обменные процессы в хрящевой ткани, что приводит к изменению ее структуры. Со временем гладкий хрящ становится шершавым – при движении микрочастицы ткани отделяются, попадают в суставную сумку. плавая в синовиальной жидкости, они периодически попадают между гиалиновыми хрящами, вызывая боль. Хрящевая ткань истончается, суставная щель сужается. Из-за недостаточной амортизации нагрузка распределяется на костные головки. Они начинают тереть друг о друга и деформируются. По краям суставной площадки образуются наросты (остеофиты).
Из-за вторичной травматизации страдают прилегающие ткани. Мышцы и связки спазмируются, возникают воспалительные процессы, нарушается опорная функция конечности.
В международном классификаторе (МКБ 10) заболеванию присвоен код М 19 (другие артрозы). В медицине патологию разделяют по месту расположения:
- артроз левого голеностопного сустава;
- правого;
- двусторонний, когда поражены суставы на обеих ногах.
В зависимости от причин развития выделяют:
- первичный артроз – наблюдается преимущественно у лиц, старше 40 лет, развивается без видимых причин;
- вторичный – болезнь возникает на фоне неблагоприятных обстоятельств, которые служат толчком для начала патологического процесса.
Часто люди, услышав диагноз артроз, путают заболевание с артритом. Звучание несколько схоже, но клиническая картина разная. Воспалительный процесс в области сочленения с распространением на мягкие ткани называется артритом. При этом сустав сильно опухает, кожа становится гиперемированной.
На заметку. При артритах нарушается питание хрящевой ткани и повышается риск возникновения артрозов.
Артроз голеностопного сустава — это хроническое заболевание, которое характеризуется дегенеративными изменениями в суставном хряще. Врачи отмечают, что основными причинами развития артроза являются возрастные изменения, травмы, избыточный вес и неправильная нагрузка на сустав. Признаки заболевания включают боль, отечность, ограничение подвижности и хруст при движении.
Для поддержания здоровья суставов важно соблюдать сбалансированное питание. Врачи рекомендуют включать в меню на неделю продукты, богатые омега-3 жирными кислотами, такие как рыба и орехи, а также овощи, фрукты и цельнозерновые продукты. Употребление молочных продуктов и нежирного мяса также способствует укреплению костной ткани. Правильное питание в сочетании с физической активностью может значительно улучшить состояние пациентов и замедлить прогрессирование заболевания.

Причины артроза
Развитие подтаранного артроза обычно начинается при совокупности неблагоприятных факторов. Основными причинами считаются воспалительные процессы, травмы и врожденные аномалии сустава.
Воспаления могут возникать из-за попадания бактерий при повреждении тканей, медицинских манипуляций, инфицировании тяжелыми заболеваниями (туберкулез, сифилис). При этом сначала возникает артрит и только спустя промежуток времени начинаются первые признаки артроза.
Наиболее частой причиной становятся травмы сустава:
- вывихи;
- переломы;
- разрывы связок;
- повреждение хряща;
- операция на суставе.
Обострение патологии после перелома или травмы проявляется через 5-6 лет. Посттравматический артроз может возникнуть даже при отсутствии явных признаков. Микротравмы становятся виновниками патологического процесса. В зоне риска люди, чья работа предполагает частые приседания, поднятие по лестнице с тяжестями.

- лишний вес;
- возраст;
- низкий уровень половых гормонов;
- болезни, связанные с нарушением обмена веществ;
- интенсивные занятия спортом;
- чрезмерная нагрузка на сустав;
- ношение обуви на высоких каблуках;
- остеохондроз поясничного отдела;
- «отложение солей»;
- хирургическое вмешательство в области сустава;
- слабые мышцы.
Определенную роль играют: неправильный образ жизни, гиподинамия, неблагоприятная экологическая обстановка, наследственная предрасположенность.
Симптомы
Заболевание прогрессирует медленно с постепенными клиническими проявлениями. Артроз голеностопа может протекать без существенных признаков несколько лет. Сначала небольшой дискомфорт возникает при длительной нагрузке на сустав. Человек может не обращать внимание на временное неудобство, потому что после непродолжительного отдыха неприятные ощущения пропадают.
Пациент обращается ко врачу, когда начинает чувствовать сильные боли. Обычно к этому времени хрящевая ткань уже сильно изношена, а суставная щель значительно сужена.

- глубокая и ноющая боль, усиливающаяся при нагрузке на сустав;
- рефлекторный спазм мускулатуры и ограничение подвижности стопы;
- прихрамывание, вследствии болевого синдрома;
- скованность сустава, стартовые боли;
- деформация стопы.
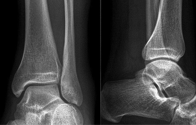
Остеофиты оказывают давление на окружающие ткани, вызывая воспаление и отеки. Для подтверждения диагноза врач назначает лабораторные и рентгенологические исследования. При возникающих вопросах проводят магнитно-резонансную томографию, которая позволяет увидеть не только кости, но и состояние мягких тканей и кровеносных сосудов.
Артроз голеностопного сустава — это заболевание, которое вызывает значительный дискомфорт и ограничивает подвижность. Люди, страдающие от этой патологии, часто отмечают болевые ощущения, особенно при физической активности. Основные причины артроза включают травмы, избыточный вес и возрастные изменения. Признаки заболевания могут проявляться в виде отечности, скованности и хруста при движении.
Для улучшения состояния важно следить за рационом. Меню на неделю должно включать продукты, богатые омега-3 жирными кислотами, такие как рыба и орехи, а также овощи и фрукты, содержащие антиоксиданты. Полезны также молочные продукты и нежирное мясо, которые способствуют укреплению суставов. Правильное питание в сочетании с физической активностью и лечебной гимнастикой может значительно облегчить симптомы и замедлить прогрессирование заболевания.

Степени заболевания
В медицинской практике принято разделять артроз в зависимости от клинической картины и поражения сустава. Существуют 3 степени патологии:
- 1 степень. Хрящевая ткань только начинает претерпевать изменения. Сустав на рентгеновском снимке выглядит здоровым, несколько сужена суставная щель. Пациент не испытывает боль и может не догадываться о развитии болезни.
- 2 степень. Начинается давление и трение костей. По краям суставных площадок разрастаются остеофиты, суставная щель значительно сужена. Человека начинают беспокоить боли, которые усиливаются при ходьбе.
- 3 степень. На рентгене видна деформация костей, массивные остеофиты, практическое полное закрытие суставной щели, иногда наблюдаются вывихи и подвывихи. Больной чувствует постоянную боль даже в состоянии покоя. Может развиться вальгусная или варусная деформация конечности, что еще больше затрудняет ходьбу.

Терапия заболевания
Терапия всегда проводится комплексно. Симптомы острого артроза купируются обезболивающими и нестероидными лекарствами. При выраженном болевом синдроме делают блокады в сустав кортикостероидными препаратами.

Терапию дополняют физиопроцедуры:
- электрофорез;
- лазерная и магнитная терапия;
- озонотерапия.
Дополнительно могут назначить: гирудотерапию, лечение пчелами, иглоукалывание, парафиновые компрессы, массаж. В процессе реабилитации врач подбирает специальные упражнения, которые необходимо ежедневно выполнять в домашних условиях. Неотъемлемой частью лечения является правильное и сбалансированное питание.

Какой диеты необходимо придерживаться?
Грамотное питание полезно на любой стадии артроза. Диета направлена на коррекцию веса, снижение воспалительного процесса, укрепление хрящевой ткани. Питание должно быть полноценным и сбалансированным.
Из рациона необходимо исключить:
- концентрированные мясные бульоны;
- жирные сорта мяса;
- копчености;
- полуфабрикаты и консервы;
- газированные сладкие напитки;
- животные жиры;
- алкоголь.
На заметку. Важно включать в меню продукты богатые мукополисахаридами, которые являются натуральными хондропротекторами – твердые сорта сыра, желатин, красная рыба, куриное мясо.
Питаться необходимо часто (5-6 раз в день) и пить не менее 1,5 литров чистой воды. Допускается приготовление блюд на пару, тушение и отваривание. Запрещается включать в рацион соленья и приправы, усиливающие аппетит (уксус, горчица, хрен, перец черный). Ограничивают употребление сахара, хлеба, варенья, шоколада, жирных молочных продуктов, кондитерских изделий, мяса гуся и утки. Из напитков предпочтение следует отдать зеленому чаю, отвару из шиповника, свежевыжатым фруктовым и овощным сокам.

Вопрос-ответ
Какие основные причины развития артроза голеностопного сустава?
Артроз голеностопного сустава может развиваться по нескольким причинам, включая возрастные изменения, травмы, избыточный вес, генетическую предрасположенность, а также хронические заболевания, такие как диабет или ревматоидный артрит. Повторяющиеся нагрузки на сустав, например, у спортсменов или людей с активной физической работой, также могут способствовать развитию этого заболевания.
Какие симптомы могут указывать на наличие артроза голеностопного сустава?
Симптомы артроза голеностопного сустава включают боль в области сустава, особенно при физической активности, ограничение подвижности, хруст или щелчки при движении, а также отечность и покраснение вокруг сустава. В более запущенных случаях может наблюдаться деформация сустава.
Какое меню на неделю рекомендуется при артрозе голеностопного сустава?
При артрозе рекомендуется сбалансированное меню, богатое омега-3 жирными кислотами, витаминами и минералами. Включите в рацион рыбу, орехи, свежие овощи и фрукты, цельнозерновые продукты, а также нежирные молочные продукты. Избегайте избыточного потребления сахара и насыщенных жиров. Примерное меню может включать: овсянку на завтрак, салаты с оливковым маслом на обед, а на ужин – запеченную рыбу с овощами.
Советы
СОВЕТ №1
Регулярно выполняйте упражнения для укрепления мышц голеностопного сустава. Это поможет улучшить его стабильность и снизить нагрузку на сустав, что может замедлить прогрессирование артроза.
СОВЕТ №2
Следите за своим весом. Избыточная масса тела увеличивает нагрузку на голеностопные суставы, что может усугубить симптомы артроза. Сбалансированное питание и физическая активность помогут поддерживать здоровый вес.
СОВЕТ №3
Обратите внимание на обувь. Носите удобную и поддерживающую обувь с хорошей амортизацией, чтобы снизить ударные нагрузки на суставы при ходьбе и физической активности.
СОВЕТ №4
Регулярно консультируйтесь с врачом и проходите обследования. Это поможет контролировать состояние суставов и своевременно корректировать лечение, если это необходимо.


